- Cosa sono e a cosa servono?
- In quali casi è indicata l’applicazione delle corone integrali?
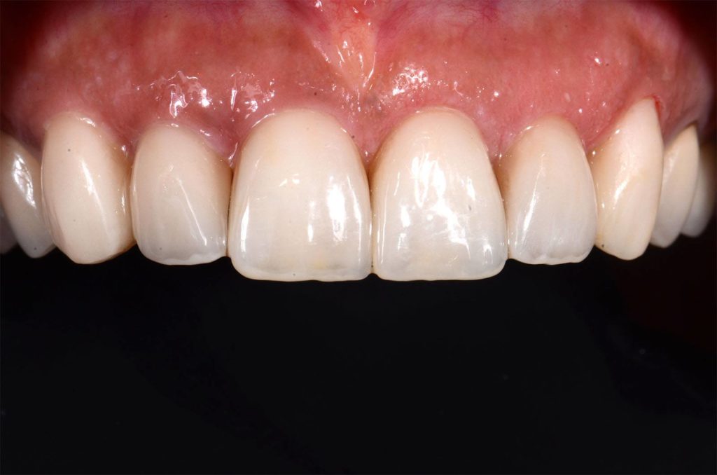
- Quali sono risultati e quanto durano le corone in ceramica?
- Quali sono i vantaggi dell’incapsulamento?
- Come vengono applicate le corone ?
- Il trattamento è doloroso?
- Quali sono i materiali migliori per la realizzazione delle corone?
- Le esperienze dei nostri pazienti
Cosa sono e a cosa servono?
Le corone in ceramica integrale sono delle capsule che servono a ripristinare la struttura dentale originale e a migliorare la resistenza e l’estetica dei denti danneggiati. A differenza delle corone prodotte in passato, le corone moderne entrano a pieno diritto fra i trattamenti di estetica dentale più efficaci.
Infatti, le capsule di un tempo avevano uno scheletro metallico rivestito in ceramica, che diventava visibile dopo qualche anno dall’applicazione. Le corone di nuova generazione invece non hanno bisogno di una struttura in metallo per mantenersi salde, perché i materiali usati oggi sono molto più resistenti. Quindi, anche se la gengiva dovesse ritirarsi, non si vedrebbe il tipico alone nero delle capsule di una volta, ma il bianco dei denti naturali. Una volta che le avremo applicate, il tuo sorriso sarà bello e luminoso, e non dovrai più nasconderlo!
In quali casi è indicata l’applicazione delle corone integrali?
A differenza delle faccette dentali, che sono più simili ad un trattamento estetico e vengono applicate sulla superficie del dente con una procedura mininvasiva o addirittura senza preparazione, l’applicazione delle corone è un intervento più importante, perché il dente viene limato e incapsulato all’interno della piccola protesi in ceramica (la corona). Lo scopo del trattamento, infatti, non è solo estetico ma funzionale. Serve a rendere più resistente la dentatura quando i denti sono danneggiati perché:
- sono molto usurati e consumati a causa dell’attrito (bruxismo) o a causa di un’erosione acida
- sono presenti discromie e macchie permanenti che non possono essere sbiancate
- sono storti, hanno una forma irregolare o sono presenti spazi (diastemi)
- sono scheggiati o danneggiati da una frattura
- per curare la carie sono state eseguite delle otturazioni molto visibili quando sorridi e quando parli
Quali sono risultati e quanto durano le corone in ceramica?
Il risultato è immediato e naturale. Le corone, una volta applicate, sono difficilmente distinguibili dai denti veri e possono durare a lungo nel tempo perché le ceramiche di oggi sono molto resistenti.
In ogni caso, la durata effettiva dipende da diversi fattori. Una corretta igiene orale domiciliare, un programma di mantenimento di igiene professionale adeguato alle proprie esigenze e regolari sedute dal dentista sono fondamentali per mantenere le corone in ottimo stato nel tempo. È comunque necessario fare molta attenzione in caso di parafunzioni come il serramento dei denti, il digrignamento, le abitudini viziate come morsicare la penna e le unghie. In questi casi c’è il rischio di provocare incrinature perché i materiali che costituiscono le corone sono più rigidi e facili da scheggiare rispetto ai denti naturali. Inoltre, con l’età, la gengiva tende a ritirarsi ma preparando il dente con un tecnica speciale BOPT è possibile scongiurare il pericolo del ritiro della gengiva.
Quali sono i vantaggi dell’incapsulamento?
- La corona è molto ben tollerata, perché la ceramica è un materiale altamente biocompatibile, quindi la gengiva che la circonda, nella maggior parte dei casi, non mostrerà segni di intolleranza (gonfiore, rossore, sanguinamenti)
- La resa estetica è ottima: a differenza delle capsule usate in passato, non si vedrà il bordino grigio scuro causato dal metallo e la corona si confonderà perfettamente fra i denti naturali per l’effetto della traslucenza dei materiali
Come vengono applicate le corone ?
L’applicazione delle corone serve ad irrobustire e a dare longevità ai denti già fortemente danneggiati a seguito di devitalizzazioni ed ampie ricostruzioni che hanno compromesso la resistenza strutturale. Il dente danneggiato deve essere limato e dovremo asportare buone quantità di smalto e dentina per poter applicare la capsula. L’intervento prevede diversi passaggi:
1. Preparazione del dente
Il primo passo è la limatura del dente che viene programmata in base agli spazi necessari per ottenere lo spessore e le dimensioni utili all’incapsulamento (si dice che il dente viene ridotto ad un moncone).
A seguire prenderemo l’impronta del dente per poter creare le corone in ceramica, che può essere eseguita secondo la metodica tradizionale oppure con l’impronta ottica.
Per realizzarle ci affidiamo ad un laboratorio di fiducia, perché tu abbia la certezza di ricevere il miglior trattamento ambulatoriale possibile con i migliori materiali e le tecnologie odontoiatriche più avanzate.
2. Applicazione della corona
Mentre il laboratorio prepara le corone definitive applicheremo una corona provvisoria per coprire il moncone e darti un’idea del risultato finito. Una volta pronta, la corona dentale definitiva può essere cementata.
Il trattamento è doloroso?
L’applicazione della corona non è dolorosa. Se il dente è vitale l’utilizzo di anestesia ci aiuterà a gestire al meglio la procedura. Invece, nel caso in cui il dente sia devitalizzato, non sentirai dolore perché la capsula, di per sé, non dà fastidio.
Quali sono i materiali migliori per la realizzazione delle corone?
Le corone dentali possono essere realizzate con diversi materiali. Noi abbiamo scelto le ceramiche integrali come:
- il disilicato di litio, un materiale metal free molto resistente che ha la traslucenza di un dente naturale, indicato per realizzare corone sottili (full veneers) e incapsulare il dente limandolo il meno possibile
- l’ossido di zirconia, che è un materiale molto resistente con una buona resa estetica
Le esperienze dei nostri pazienti
Mariella
Mariella si sentiva a disagio a causa degli spazi aperti fra i suoi denti superiori. Abbiamo inserito sei corone in disilicato di litio per chiudere gli spazi e oggi ha un bellissimo sorriso.
Carmen
Carmen voleva ringiovanire il suo sorriso, spento a causa dell’usura dentale. Le abbiamo consigliato lo sbiancamento dentale e inserito le corone in disilicato di litio. Oggi il suo sorriso è splendido e noi siamo felici di aver trovato la soluzione alle sue esigenze.


